Nueva vía potencial para adelgazar haciendo que el metabolismo genere más calor corporal

CIENCIAS DE LA SALUD.-

La grasa marrón es conocida por su capacidad de usar la energía (calorías) de los alimentos para generar calor, lo que ayuda al cuerpo humano a mantenerse caliente en ambientes con temperaturas bajas. En cambio, la grasa blanca se limita a almacenar calorías. Dicho de modo simple, la grasa blanca puede conducir a acumular kilos de más, y la marrón no.

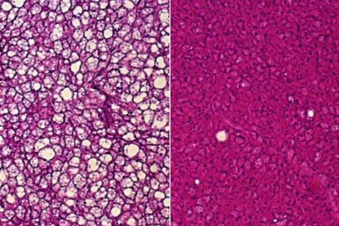
El tejido adiposo marrón de ratones con deficiencia de proteína desacopladora 1 y alimentados con una dieta rica en grasas acumula gotitas de grasa blanca (izquierda), lo que indica una producción de calor reducida. En la grasa marrón de ratones también con deficiencia de proteína desacopladora 1, pero modificados genéticamente para contener cantidades inusualmente altas de la proteína ACOX2, la grasa blanca no se acumula al seguir una dieta rica en grasas (derecha) y la producción de calor es mayor. Imágenes: Lodhi Lab 

Ante el auge del sobrepeso y la obesidad en buena parte de la población de las naciones industrializadas, encontrar modos de promover en el cuerpo la grasa marrón en detrimento de la blanca se perfila como una vía prometedora para adelgazar de manera eficaz y con poco o ningún esfuerzo por parte de la persona.

Unos científicos han identificado una nueva forma en que la grasa marrón puede acelerar el metabolismo del cuerpo, consumiendo más combustible celular y produciendo calor extra, mejorando así la salud metabólica cuando hay demasiado combustible almacenado en forma de grasa y kilos de más.

El estudio, realizado en ratones, revela una nueva vía para usar la grasa marrón en el tratamiento de enfermedades metabólicas, como la resistencia a la insulina y la obesidad.

El estudio lo ha realizado un equipo integrado, entre otros, por Irfan Lodhi y Xuejing Liu, de la Universidad Washington en San Luis de Misuri, Estados Unidos.

Se sabe que las mitocondrias de la grasa marrón (también llamada grasa parda) tienen un modo de desvincularse de la producción de combustible y, en su lugar, producir calor, mediante una molécula llamada proteína desacopladora 1. También se sabe que los ratones con grasa marrón que carecen de la proteína desacopladora 1 aún pueden “quemar” combustible y generar calor, lo que indica la existencia de “quemadores de reserva” en las células.

El nuevo estudio implica a los componentes celulares llamados peroxisomas como importantes productores alternativos de calor en la grasa marrón. Los peroxisomas son pequeños compartimentos celulares que participan en el procesamiento de las moléculas de grasa. Los investigadores han comprobado que los peroxisomas en la grasa marrón, cuando se exponen al frío, aumentan en número. Este aumento es aún más claro en ratones cuyas mitocondrias son deficientes en la proteína desacopladora 1, lo que sugiere que los peroxisomas podrían ser capaces de compensar la escasez de dicha proteína.

Lodhi y sus colegas han descubierto que los peroxisomas consumen combustible y producen calor en un proceso metabólico que se centra en la ACOX2, una proteína clave en estos componentes celulares. En experimentos realizados por los autores del estudio, los ratones sin ACOX2 en la grasa marrón perdieron parte de su capacidad corporal para combatir el frío, mostrando temperaturas corporales más bajas tras la exposición al frío en comparación con los ratones normales. Además, en comparación con los ratones normales, sus tejidos no aprovecharon adecuadamente la insulina, una hormona reguladora del azúcar en sangre, y fueron más propensos a la obesidad al ser alimentados con dietas ricas en grasas.

En cambio, los ratones modificados genéticamente para producir cantidades inusualmente altas de ACOX2 en la grasa marrón mostraron una mayor producción de calor, mejor tolerancia al frío, mejor sensibilidad a la insulina y mejor control del peso, al ser alimentados con la misma dieta rica en grasas.

Utilizando un sensor especial de calor que desarrollaron, los investigadores descubrieron que cuando la ACOX2 metabolizaba ciertos ácidos grasos, las células de grasa marrón se calentaban más. También utilizaron una cámara termográfica (infrarroja) para demostrar que los ratones sin ACOX2 producían menos calor en su grasa marrón.

Si bien el cuerpo humano puede fabricar estos ácidos grasos, tales sustancias también se encuentran en los productos lácteos y la leche materna, y son producidas por ciertos microbios intestinales. Lodhi cree que esto plantea la posibilidad de que una intervención dietética basada en estos ácidos grasos pueda potenciar esta vía de producción de calor y los efectos beneficiosos que parece tener. Él y sus colegas también están investigando posibles fármacos capaces de activar directamente la ACOX2.

"Si bien nuestros estudios se realizan en ratones, existe evidencia que sugiere que esta vía es relevante en el ser humano", afirmó Lodhi. "Estudios previos han demostrado que las personas con niveles más altos de estos ácidos grasos tienden a tener índices de masa corporal más bajos. Sin embargo, dado que la correlación no implica causalidad, nuestro objetivo a largo plazo es evaluar si las intervenciones dietéticas u otras intervenciones terapéuticas que aumentan los niveles de estos ácidos grasos o la actividad del ACOX2 podrían ser útiles para activar esta vía de producción de calor en los peroxisomas y ayudar a adelgazar a las personas con sobrepeso u obesidad, así como mejorar su salud metabólica".

El estudio se titula “Peroxisomal metabolism of branched fatty acids regulates energy homeostasis”. Y se ha publicado en la revista académica Nature.

Por: Redacción.

Sitio Fuente: NCYT de Amazings